Tooth Extraction & Wisdom Teeth Removal in Leander
Gentle, Precise, and Comfortable Tooth Extraction for a Healthier Smile

What Is a Tooth Extraction?
A tooth extraction is a routine dental procedure performed to remove a damaged, decayed, or infected tooth that cannot be restored. Our goal is always to preserve your natural teeth whenever possible. However, when removal is necessary, we ensure your experience is as comfortable and stress-free as possible. Using advanced tools and gentle techniques, our team provides the best tooth extraction in Leander with precision, care, and compassion.
.avif)
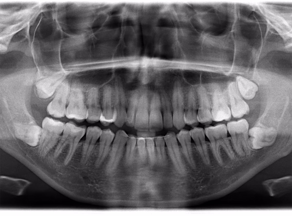
What Is Wisdom Tooth Removal?
Wisdom teeth, or third molars, often emerge in your late teens or early twenties and can cause pain, crowding, or infection if they don’t have enough room to grow properly. Our experienced team provides the best wisdom teeth removal in Leander, ensuring safe, efficient, and comfortable extraction, whether your wisdom teeth are erupted, partially impacted, or fully impacted. We use modern imaging and surgical technology to ensure predictable, comfortable results and faster healing.
Signs You May Need a Tooth Removed
Tooth extraction or wisdom tooth removal may be recommended if you experience:
What Happens During a Tooth Extraction or Wisdom Tooth Removal?
We prioritize your comfort, pain control, and safety at every stage of treatment.
Your dentist will perform a comprehensive oral exam, take digital X-rays, and discuss sedation and anesthesia options to ensure a comfortable, pain-free experience.
For simple extractions, the tooth is gently loosened and removed with specialized instruments. For surgical extractions or impacted wisdom teeth, small incisions may be made to remove the tooth with minimal disruption to the surrounding tissue, safely. Our modern approach ensures accuracy and faster healing.
Once the tooth is removed, the area is cleaned, and stitches may be placed if necessary. You’ll be given detailed aftercare instructions and follow-up guidance to promote smooth recovery and protect the site from infection.
Aftercare Instructions for Tooth Extraction
Proper care after extraction helps your mouth heal quickly and comfortably. Here’s how to ensure a smooth recovery:
If you experience prolonged bleeding, swelling, or discomfort, call us immediately for care from the best family dentist in Leander.

FAQs About Tooth Extraction and Wisdom Tooth Removal
No. We use modern anesthesia and sedation options to make your procedure completely comfortable. Most patients feel pressure but no pain during the extraction.
Most patients heal within seven to 10 days, though wisdom tooth extractions may take slightly longer. Following your aftercare instructions closely will help speed recovery.
Stick to soft foods such as yogurt, soup, mashed potatoes, and smoothies for the first few days. Gradually reintroduce solid foods as you heal.
Where to Find the Best Tooth Extraction Dentist in Leander
If you need a tooth removed, we provide gentle, expert care for every patient, from simple tooth extractions to complex wisdom tooth removal, all conveniently from our Leander dentist office. Using advanced imaging, sedation dentistry, and minimally invasive techniques, our team ensures a smooth, comfortable experience every time.
Our dental extractions are available to the greater communities of Round Rock, Brushy Creek, Pflugerville, Austin, Cedar Park, Vista Oaks, and Mayfield Ranch, offering advanced oral surgery with a compassionate touch right here in Leander.
Ready to take care of that painful tooth and experience why patients trust us as the best family dentists in Leander for wisdom teeth removal and extractions?


Want to experience a more convenient way to improve your complete oral health while getting the confident, dazzling smile you’ve always dreamed of?
Schedule or give us a call to get started!