
Dental and Oral Conditions We Treat
From Routine Care to Complex Dental Needs, Comprehensive Care for Every Smile
Comprehensive Dental Care in Leander
At Green Dentistry of Leander, we provide expert care for a wide range of dental and oral conditions. Our team of board-certified dentists combines advanced training, modern technology, and personalized treatment to restore your smile’s health, function, and appearance. Whether you need a routine checkup, treatment for gum disease, or complex restorative procedures such as dental implants, we create solutions tailored to your needs. Serving Leander and surrounding areas, including Round Rock, Brushy Creek, Pflugerville, Austin, Cedar Park, Vista Oaks, and Mayfield Ranch, our dental practice is committed to helping every patient achieve long-lasting oral health.

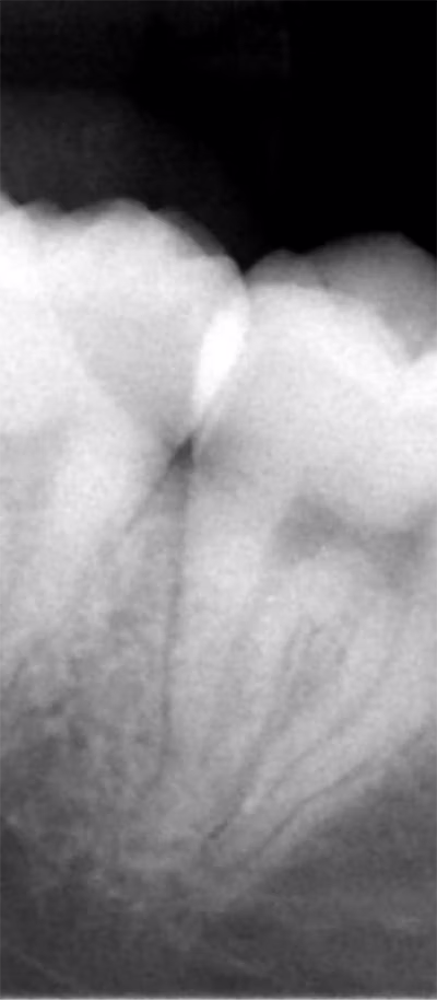
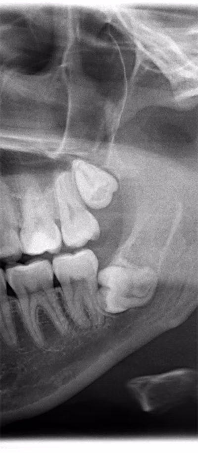
Impacted teeth occur when a tooth fails to fully emerge through the gums. This is common with wisdom teeth, some permanent teeth, and stubborn baby teeth. Causes can include overcrowding, abnormal growth patterns, or excess teeth in the jaw. Impacted teeth may lead to pain, difficulty chewing, or misalignment. In some cases, symptoms are not visible until detected on an X-ray. At our Leander office, we provide customized solutions for impacted teeth, including orthodontic guidance to help teeth erupt correctly. For problematic wisdom teeth, expert extraction is often the recommended solution.

Third molars, or wisdom teeth, typically appear in late adolescence or early adulthood. They often cause complications due to insufficient space for proper eruption, leading to:
- Pain and swelling
- Decay and gum infection
- Misalignment of surrounding teeth
- Cysts or tissue damage
Almost 90% of adults experience at least one impacted wisdom tooth. Our Leander dentists are trained to remove wisdom teeth safely and comfortably, protecting surrounding teeth, nerves, and tissues.

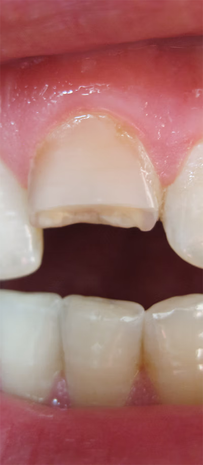
Broken or infected teeth can result from trauma, decay, or poor oral hygiene. Our team evaluates each tooth carefully to determine if it can be saved with restorative treatments, including fillings, crowns, or root canal therapy. When preservation is not possible, we perform tooth extraction with gentle techniques and anesthesia for comfort. Post-extraction, dental implants are recommended to restore chewing function, aesthetics, and long-term oral health.

Missing teeth can not only affect your smile, but they can also impact chewing, speech, jaw alignment, and facial structure. Without proper support, surrounding teeth may shift, and jawbone deterioration can occur, causing premature aging of facial features. Dental implants in Leander are the gold standard for replacing missing teeth. Our implants restore natural function and appearance, protect jawbone health, and boost confidence. Even patients with prior bone loss can benefit from bone grafting to support long-term implant success.

Jawbone health relies on stimulation from tooth roots. When teeth are missing, the bone can weaken, leading to further tooth loss and facial changes.
At Green Dentistry of Leander, we treat severe bone loss using advanced techniques:
- Dental implants with bone grafting
- Full-mouth reconstruction
- Zygomatic dental implants for patients with significant jawbone loss
These solutions restore function, aesthetics, and confidence for patients who might otherwise struggle with traditional dentures.

If you need the best chronic gum disease treatment in Leander, you’ll want a comprehensive approach. Our gum disease treatment may include:
- Meticulous daily oral hygiene
- Professional deep cleanings (scaling and root planing)
- Antibiotics or antimicrobial mouth rinses, if needed
- Regular monitoring by a dentist or periodontist
With early intervention and ongoing care, gum disease can be effectively managed, protecting your teeth, gums, and overall oral health.

Loose dentures can affect chewing, speaking, and comfort. While adhesives provide temporary support, professional adjustments, relining, or rebasing may be required. For long-term stability, implant-supported dentures anchor securely to the jawbone, providing reliable function and a natural appearance.

A gummy smile occurs when excess gum tissue shows while smiling. Treatment depends on severity and may include:
- Botulinum toxin injections to relax the upper lip
- Orthodontics (braces or clear aligners) to correct jaw alignment
- Surgical procedures such as gingivectomy or crown lengthening
Our Leander dentists customize treatment to enhance smile aesthetics and balance facial proportions.

Bleeding gums often indicate plaque buildup, gum inflammation, or underlying disease. Treatment includes:
- Improved oral hygiene practices
- Professional cleanings and scaling
- Lifestyle adjustments such as quitting smoking
- Advanced interventions, like gum surgery for severe cases
Proper management prevents progression to chronic gum disease and preserves long-term oral health.

Gum recession exposes tooth roots and can cause sensitivity, aesthetic concerns, and increased risk of decay. Common causes include:
- Aggressive brushing
- Periodontal disease
- Genetics and hormonal changes
Treatment options vary by severity and may include scaling and root planing, gum grafting, or other surgical procedures to restore healthy gum coverage.

Where to Find the Best Comprehensive Dentistry in Leander, TX
At Green Dentistry of Leander, we provide expert diagnosis and treatment for a wide range of dental and oral conditions. Our board-certified dentists combine advanced technology, personalized care, and a gentle approach to protect your smile and long-term oral health.
Our dental practice is located on the corner of E. New Hope Drive and Ronald Reagan Boulevard, and we serve the communities of Round Rock, Brushy Creek, Pflugerville, Austin, Cedar Park, Vista Oaks, and Mayfield Ranch.